Bon prix  en ligne

Détails des produits

Created with Pixso. Maison Created with Pixso. Produits Created with Pixso.
Esthétique biomimétique dentaire
Created with Pixso. Une étude de cas sur la couronne dentaire de zirconia -- Global Lab Outsourcing -- Joydentalab

Une étude de cas sur la couronne dentaire de zirconia -- Global Lab Outsourcing -- Joydentalab

Nom De Marque: Joydenta
Nombre De Pièces: Flexible
Délai De Livraison: 4 jours ouvrables
Conditions De Paiement: T/T paypal
Informations détaillées
nouveau site Web:
www.joydenta-lab.com
nouveau site Web:
https://joydenta-lab.com/fr/
Détails d'emballage:
Enveloppe à bulles avec boîte
Capacité d'approvisionnement:
500 cas par jour
Mettre en évidence:

Prothèses dentaires en zirconium avec un aspect naturel

,

Prothèses dentaires en zircone

,

Dentiers en zircone pour remplacement de dents

Description de produit

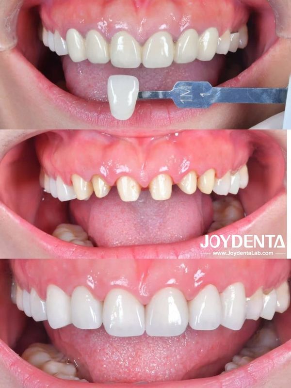
Étude de cas de couronne dentaire à base de zirconium: Outsourcing mondial premium par Joydentalab

Ce cas clinique présente une restauration secondaire pour un patient qui a déjà reçu des couronnes métal-céramique il y a de nombreuses années.et une solution esthétiquement avancéeLa clinique dentaire a sélectionné lescouronne dentaire en zirconiumsystème fabriqué parLaboratoire dentaire JOY, et le résultat est un pas en avant clair en termes de précision et de performance esthétique.

Comme le montrent les images, la différence entre l'ancienne prothèse et la nouvelle restauration en zirconium est significative.couronne dentaire en zirconiumfournit:

  • Amélioration de la précision des couleurs et de la translucide

  • Une forme anatomique raffinée qui s'intègre harmonieusement aux dents naturelles du patient.

  • Résistance et stabilité à long terme supérieures

  • Matériaux biocompatibles adaptés aux patients sensibles

La clinique dentaire et le patient ont tous deux exprimé leur satisfaction du résultat final.renforcer la raison pour laquelle le zirconium reste l'un des matériaux les plus fiables dans la dentisterie restaurative moderne.


Pourquoi les laboratoires dentaires du monde entier choisissent JOY Dental Lab pour les restaurations de zirconia

En tant quelaboratoire dentaire haut de gammespécialisée dans l'externalisation internationale,Laboratoire dentaire JOYIl soutient les laboratoires dentaires à travers leÉtats-Unis, Australie et Royaume-Uniavec des solutions de zirconium de haute précision.

Nos avantages sont les suivants:

  • Conséquence de la conception numérique grâce à un flux de travail CAD/CAM avancé

  • Matériaux de zirconium multicouches de haute résistance

  • Temps de traitement stable pour les clients mondiaux

  • Contrôle de qualité strict pour garantir des résultats prévisibles

  • Communication professionnelle pour une coopération de laboratoire à distance

Que vous ayez besoin d'un boîtier unique, de ponts en zirconium à arc complet ou de restaurations à l'aide d'implants, nous fournissons un support de production fiable adapté aux laboratoires dentaires mondiaux.


Partenaire d'un laboratoire mondial de sous-traitance de confiance

Si votre clinique ou votre laboratoire est à la recherche d'un partenaire fiable pourcouronne dentaire en zirconiumfabrication,Laboratoire dentaire JOY Il offre une précision de fabrication, une esthétique naturelle et un excellent service international.

Nous souhaitons la bienvenue aux laboratoires dentaires du monde entier pour collaborer et améliorer leurs résultats de restauration avec un savoir-faire en zirconium de haute qualité.

Bon prix  en ligne

Détails Des Produits

Created with Pixso. Maison Created with Pixso. Produits Created with Pixso.
Esthétique biomimétique dentaire
Created with Pixso. Une étude de cas sur la couronne dentaire de zirconia -- Global Lab Outsourcing -- Joydentalab

Une étude de cas sur la couronne dentaire de zirconia -- Global Lab Outsourcing -- Joydentalab

Nom De Marque: Joydenta
Nombre De Pièces: Flexible
Détails De L'emballage: Enveloppe à bulles avec boîte
Conditions De Paiement: T/T paypal
Informations détaillées
Nom de marque:
Joydenta
nouveau site Web:
www.joydenta-lab.com
nouveau site Web:
https://joydenta-lab.com/fr/
Quantité de commande min:
Flexible
Détails d'emballage:
Enveloppe à bulles avec boîte
Délai de livraison:
4 jours ouvrables
Conditions de paiement:
T/T paypal
Capacité d'approvisionnement:
500 cas par jour
Mettre en évidence:

Prothèses dentaires en zirconium avec un aspect naturel

,

Prothèses dentaires en zircone

,

Dentiers en zircone pour remplacement de dents

Description de produit

Étude de cas de couronne dentaire à base de zirconium: Outsourcing mondial premium par Joydentalab

Ce cas clinique présente une restauration secondaire pour un patient qui a déjà reçu des couronnes métal-céramique il y a de nombreuses années.et une solution esthétiquement avancéeLa clinique dentaire a sélectionné lescouronne dentaire en zirconiumsystème fabriqué parLaboratoire dentaire JOY, et le résultat est un pas en avant clair en termes de précision et de performance esthétique.

Comme le montrent les images, la différence entre l'ancienne prothèse et la nouvelle restauration en zirconium est significative.couronne dentaire en zirconiumfournit:

  • Amélioration de la précision des couleurs et de la translucide

  • Une forme anatomique raffinée qui s'intègre harmonieusement aux dents naturelles du patient.

  • Résistance et stabilité à long terme supérieures

  • Matériaux biocompatibles adaptés aux patients sensibles

La clinique dentaire et le patient ont tous deux exprimé leur satisfaction du résultat final.renforcer la raison pour laquelle le zirconium reste l'un des matériaux les plus fiables dans la dentisterie restaurative moderne.


Pourquoi les laboratoires dentaires du monde entier choisissent JOY Dental Lab pour les restaurations de zirconia

En tant quelaboratoire dentaire haut de gammespécialisée dans l'externalisation internationale,Laboratoire dentaire JOYIl soutient les laboratoires dentaires à travers leÉtats-Unis, Australie et Royaume-Uniavec des solutions de zirconium de haute précision.

Nos avantages sont les suivants:

  • Conséquence de la conception numérique grâce à un flux de travail CAD/CAM avancé

  • Matériaux de zirconium multicouches de haute résistance

  • Temps de traitement stable pour les clients mondiaux

  • Contrôle de qualité strict pour garantir des résultats prévisibles

  • Communication professionnelle pour une coopération de laboratoire à distance

Que vous ayez besoin d'un boîtier unique, de ponts en zirconium à arc complet ou de restaurations à l'aide d'implants, nous fournissons un support de production fiable adapté aux laboratoires dentaires mondiaux.


Partenaire d'un laboratoire mondial de sous-traitance de confiance

Si votre clinique ou votre laboratoire est à la recherche d'un partenaire fiable pourcouronne dentaire en zirconiumfabrication,Laboratoire dentaire JOY Il offre une précision de fabrication, une esthétique naturelle et un excellent service international.

Nous souhaitons la bienvenue aux laboratoires dentaires du monde entier pour collaborer et améliorer leurs résultats de restauration avec un savoir-faire en zirconium de haute qualité.